HONG KONG,31 ENERO 2020/
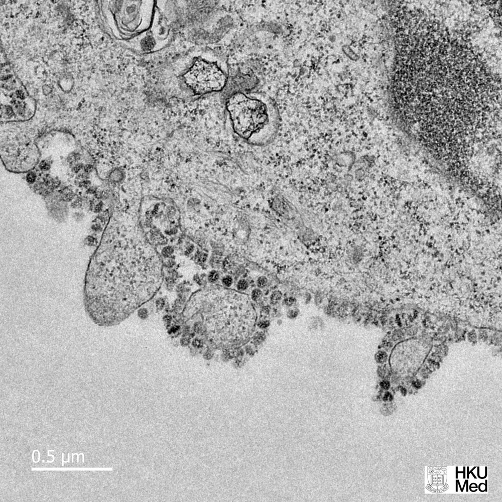
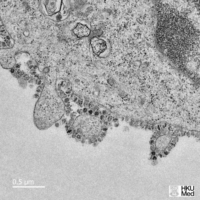
Las imágenes publicadas por los científicos de la Universidad de Hong Kong muestran parte de una célula infectada.
Los científicos de la Universidad de Hong Kong publicaron este viernes imágenes ampliadas de la causa microbiana del brote de coronavirus que provocó una emergencia de salud mundial.
Las micrografías electrónicas de lámina delgada del nuevo coronavirus muestran parte de una célula infectada, cultivada con partículas de virus que se liberan de la superficie de la célula.
Cada célula infectada produce miles de nuevas partículas de virus infecciosos que pueden contagiar nuevas células, dijo John Nicholls, profesor clínico de patología en la universidad, quien cultivó el virus con sus colegas Leo Poon y Malik Peiris.
Los investigadores están estudiando muestras en diferentes momentos para comprender mejor cuán diferente podría replicarse el nuevo virus 2019-nCoV, en comparación con otros coronavirus.
Los virus relacionados que causaron el síndrome respiratorio agudo severo, o SARS, y el síndrome respiratorio de Medio Oriente se han estudiado más ampliamente, dijo Nicholls.
«Los resultados podrían compartirse fácilmente con investigadores de todo el mundo que no tienen acceso al virus» o la capacidad de estudiarlo en laboratorios de bioseguridad, dijo Nicholls, quien era parte del equipo de Hong Kong que aisló y caracterizó el SARS virus.
Hasta el momento, la cepa 2019-nCoV ha dejado más de 200 muertos y 9 mil 814 infectados, y se ha extendido a 22 naciones (contando Italia).
